IMC Journal of Medical Science (IMCJMS)

IMC Journal of Medical Science

Formerly Ibrahim Medical College Journal

IMCJMS
Abstract (1,535)   Download PDF (1,036)   Print
Issue: Vol.6 No.2 - July 2012
Diagnosis of Tubercular Lymphadenitis by PCR of Fine Needle Aspirates
Authors: Masud Parvez,

Affiliations: Department of Pathology, Dhaka Medical College, Dhaka, Bangladesh

Md. Mohiuddin,

Affiliations: Department of Microbiology, Ibrahim Medical College, Dhaka, Bangladesh

Md. Zahid Hassan,

Affiliations: Department of Physiology and Molecular Biology, BIRDEM General Hospital, Dhaka, Bangladesh

Farooque Ahmad,

Affiliations: Department of Pathology, Dhaka Medical College, Dhaka, Bangladesh

J. Ashraful Haq

Affiliations: Department of Microbiology, Ibrahim Medical College, Dhaka, Bangladesh

Abstract

A definitive and accurate diagnosis of tubercular lymphadenitis is important for its proper management. Fine needle aspiration cytology (FNAC) is an easy procedure for collection of material for cytopathological and bacteriological examination. But the detection rate of M. tuberculosis from the aspirated material is low with Ziehl-Neelson (Z-N) stain and even with culture. Polymerase chain reaction (PCR) is a rapid method for diagnosis of tuberculosis from various clinical samples. In the present study, PCR was employed for the detection of mycobacterial DNA sequences in fine needle aspirates of twenty cases of suspected tubercular lymphadenitis and compared with cytomorphological characteristics, Z-N stain and culture. Thermo stable multiplex PCR was used to detect Mycobacterium specific DNA. The rate of PCR positivity for mycobacterial DNA was 70% as compared to 50% and 60% by Z-N stain and culture respectively. Papanicolaou as well as Hematoxylin and Eosin (H&E) stains of fine needle aspirated (FNA) materials detected granulomatous lesions suggestive of tubercular infection in only 50% cases. FNAC with Type 3 cytomorphological pattern without presence of granuloma yielded highest positivity rate by PCR. PCR was found more sensitive technique to detect Mycobacterium in patient with tubercular lymphadenitis.

Ibrahim Med. Coll. J. 2012; 6(2): 46-49

Key Words: Fine needle aspiration, M. tuberculosis, Polymerase chain reaction

Address for Correspondence:Dr. Masud Parvez, Department of Pathology, Bangladesh Institute of Child Health, Shere Bangla Nagar, Dhaka

 

Introduction

Tuberculosis (TB) is on the rise globally, with an estimated one-third of the world’s population being infected with Mycobacterium tuberculosis and approximately 3-4 million new cases occur every year.1,2 In 2006, WHO ranked Bangladesh sixth among the world’s 22 high-burden TB countries.1,2 Tubercular lymphadenitis is a common manifestation of extra-pulmonary tuberculosis.3,4 In Bangladesh, lymph node tuberculosis was found to be common (36.2%) among the extra-pulmonary tuberculosis.5 Bacteriological diagnosis of extra-pulmonary TB is difficult. Traditionally, the diagnosis of tubercular lymphadenitis (TB-L) is established by histopathology, Z-N stain and culture of excisional biopsy materials. Over the past decade, fine-needle aspiration cytology (FNAC) has played an important role in the evaluation of peripheral lymphadenopathy as a possible minimal invasive alternative procedure to excisional biopsy. The reported AFB positivity rate in FNAC materials by Z-N stain was 40-56%.3,6 The cytological criteria for diagnosis of tubercular lymphadenitis have been defined as epithelioid cell granulomas with or without multinucleated giant cells and caseation necrosis.6,7,8

Recently, the amplification of specific DNA sequences by polymerase chain reaction (PCR) is a novel tool for the detection of mycobacterial DNA sequences in several clinical sample materials.9,10 However, there have been few reports which have described the detection of mycobacterial DNA by PCR in FNAC materials. The present study investigated FNA samples from suspected tubercular lymphadenitis for the presence of mycobacterial DNA in aspirated materials having different cytological pattern and compared with Z-N stain and culture of M. tuberculosis.

 

Materials and Methods

Place and study population

This study was carried out in the Department of Pathology, Dhaka Medical College and Microbiology Department, BIRDEM Hospital over a period of six months (February to July 2007). Patients attending outpatient department of Dhaka Medical College Hospital with cervical and axillarylymphadenopathy suspected of tubercular lymphadenitis were included in the study.

 

Sample collection and processing

Fine needle aspirations of lymph nodes were performed using 10ml plastic disposable syringe fitted with 22-gauge needles under strict aseptic precaution. The standard technique of aspiration was used. The needle aspirates from the involved lymph node were dividedinto two portions. One portion was smeared on three glass slides, fixedimmediately with 95% alcohol, and subjected to Papanicolaou, H&E and Z-Nstaining.11 The remainder of the specimens was flushed repeatedly into one ml of normal saline in a test tube and stored at 4°C for culture onLowenstein-Jensen (L-J) medium.11 These materials were also used for DNA extraction for PCR.

 

Cytomorphological typing by H&E and Papanicolaou staining

The smears were grouped into three categories cytomorphologically as described earlier.12 The cytomorphological categories of lymph node aspirates were as follows:

Type 1: Epithelioid granuloma without caseous necrosis having groups of epithelioid cells along with a variable number of lymphoid cells. Foreign body or Langhans giant cells may or may not be present.

Type 2: Epithelioid granuloma with caseous necrosis. In addition to epithelioid cells, the smear contained clumps of amorphous debris or caseous necrotic material. Lymphocytes, Langhans giant cells and neutrophils may be found.

Type 3: Necrotic materials with marked degenerating and variable polymorphonuclear infiltration without epithelioid granuloma and described as tubercular abscess.

 

DNA extraction and PCR for the detection of mycobacterial DNA

Extractions of DNA from lymph node aspirates: Lymph node aspirates were digested and decontaminated by NALC-sodium hydroxide method and pellets are used for DNA extraction. 100 micro liter of DNA extraction buffer (supplied with kits) was added to the pellet and it was vortexed briefly to mix. Then it was heated at 1000C for 10 minutes and vortexed briefly to mix. Then it was centrifuged at 12000g for 15 minutes. Fifty micro liter of supernatant was collected into a sterile micro centrifuge tube. Only five micro liters was used for PCR reaction.

 

Procedure for PCR

Lymph node aspirates were tested to detect Mycobacterium specific DNA by multiplex PCR for the detection of M. tuberculosis and Mycobacterium other than tuberculosis (MOTT).

A commercial thermo stable multiplex PCR kit (EZTB PCR kit) designed to detect both the M. tuberculosis specific and mycobacterium genus specific DNA was used. The kit was obtained from MBDr, Biodiagnostic research Sdn Bhd, Malaysia. The kit contained thermo stable PCR reagents and primers specific for M. tuberculosis and Mycobacterium genus. Five pairs of primers were used. Two pairs of primer were for M. tuberculosis and two pairs for genus specific. One pair of primer was used for internal control. The targets for the primers and the corresponding size of the amplified products were as follows: IS6110 - 541bp, HSP65 -127bp, ISB9 - 383bp, DNAJ - 211bp. Fifteen micro liter of water (supplied) was added to each thermo stabilized PCR mix tube, left for ten minutes at room temperature and then vortexed briefly to ensure that the thermo stabilized PCR mix was well dissolved. Five micro liter of extracted DNA sample was added to the thermo stable PCR mix. Positive control was prepared by adding forty micro liter of water (supplied) and then it was left for 2 minutes at room temperature. The tube was vortexed to reconstitute. Then 5 µl was added to the thermo stable PCR mix. For negative control, 5 micro liter of water (supplied) was added to the thermo stable PCR mix. The tubes were placed in thermal cycler and PCR reaction was started by using PCR cycling condition for 32 cycles as per instruction by the manufactures. The amplified PCR product was detected by agarose gel electrophoresis.

 

Results

A total of twenty lymph node aspirates were investigated from suspected cases of tubercular lymhadenitis. The majority of the cases were in the first four decades of life and male: female ratio of 1: 1.5.

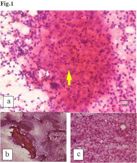
Based on the nature of the material aspirated and/ or cytomorphologic findings, the cases were categorized into three types (Table 1 and Fig 1). Out of 20 cases, 10 (50%) were Type III which showed suppurative features not consistent with typical granulomatous lesion of mycobacterial infection. The results of bacteriological examination of these cases are shown in Table 1. Direct smears for AFB and culture was positive in 10 (50%) and 12 (60%) cases respectively while the positivity rate was 70% by PCR. Culture positivity was found in a higher percentage of cases with type 1 and 2 smears as compared to Type 3. But AFB positivity in smears was lower in Type 1 and 2 compared to Type 3. PCR methods for mycobacterial DNA was highest in Type 3 which did not show typical granulomatous lesions.

 

 

Fig.1: H&E stain of FNA aspirated material showing different smear types: (a) Epithelioid granuloma without caseous necrosis pattern. FNA smear showing a granuloma consisting of epithelioid cells intermixed with lymphocyteswithout caseous necrosis (Type 1). (b) Caseous necrotic pattern - only fragmented amorphous eosinophilic tissue debris is present (Type 2). (c) Necrotic pattern - note the numerous polymorphs and the absence of epithelioid granuloma (Type 3)

 

All of the AFB and culture positive cases were also positive by PCR (Table-2). But it is important to note that out of 10 AFB negative cases 4 became positive by PCR. Similarly, out of 8 culture negative cases 2 were positive by PCR. Out of 14 positive cases, 3 were Mycobacterium other than tuberculosis (MOTT) as detected by culture and PCR.


Table-1: Results of cytomorphological types, Z-N stain, L-J culture and PCR of twenty FNA aspirated material from suspected lymphadenitis cases

 

 Table-2: Correlation of PCR results with Z-N and culture methods for the detection of Mycobacterium

 

 

Discussion

In this study, H&N stain of the FNA aspirated materials from lymphadenitis cases showed typical granuloma with caseation necrosis or necrotic materials in 50% cases (Type 1 and 2) indicative of tubercular infections. The remaining 50% cases revealed no granuloma but only necrosis (smear type 3) suggestive of pyogenic suppurative infections which were cytologically not considered of mycobacterial infections. But Prasad et al (1996) reported the sensitivity and specificity of cytological examination of FNA materials as 83.3% and 94.3%, respectively for tubercular infection.13 Epithelioid granulomas with or without necrosis are usually considered as the hallmark of tubercular infection and presence of polymorphs are uncommon findings as seen in Type 3 lesions. But the ZN stain, culture and PCR proved that the lesions without typical granulomatous features might be due to mycobacterial infection. Therefore, the absences of granulomas in FNA material do not exclude tuberculosis. Similarly, FNA materials yielding pus do not indicate mere pyogenic infections. Of the three methods used for detection of mycobacterial infection, PCR was found as the most sensitive technique; however it did not differentiate between live or dead tubercular bacilli. Compared to PCR, the rate of detection of bacilli by Z-N stain is between 25-45%.7 It is because of the fact that at least 1x104 organisms/ml had to be present in the sample for the Z-N smear to be positive.14 If the number is less than this, the bacilli may not be detected in the smears. On the other hand, only two organisms are enough to detect successfully with PCR amplification.9,15 It may also be mentioned that PCR method is able to detect Mycobacterium other than tuberculosis (MOTT) rapidly in clinical samples.

In conclusion, PCR is more useful for the detection of mycobacterial infection in FNA materials than either Z-N smear or culture. But a negative PCR does not exclude the possibility of tuberculosis. FNAC supplemented by bacteriological tests like PCR methods as well as conventional methods could confirm the diagnosis of tuberculosis. Therefore, microbiological investigation is recommended for all suspected tubercular lymphadenitis.

 

References

1.   World Health Organization. Global Tuberculosis Control: Surveillance, Planning, Financing. WHO Report 2002. Geneva: World Health Organization.

2.   World Health Organization. Global Tuberculosis Control: Surveillance, Planning, Financing. WHO Report 2006. Geneva: World Health Organization.

3.   Appling D & Miller RH. Mycobacterium cervical lymphadenopathy: 1981 update. Laryngoscope, 1991; 1259–1266.

4.   Gadre DV, Singh UR, Saxena K, Bhatia A & Talwar V. Diagnosis of tubercular cervical lymphadenitis by FNAC, microscopy and culture. Indian Journal of Tuberculosis 1991; 38: 25–27.

5.   Karim MM, Chowdhury SA, Hussain MM, Faiz AM. A clinical study on extrapulmonary tuberculosis. Journal of Bangladesh College of Physicians And Surgeons 2006; 24(1): 19-28.

6.   Finfer M, Perchick A & Burstein DE. Fine needle aspiration biopsy diagnosis of tuberculous lymphadenitis in patients with and without the acquired immune deficiency syndrome. Acta Cytol 1991; 35: 325–332.

7.   Gupta SK, Chugh TD, Sheikh ZA, al-Rubah NA. Cytodiagnosis of tuberculous lymphadenitis. A correlative study with microbiologic examination. Acta Cytol 1993; 37(3): 329-32.

8.   Lau SK, Wei WI, Hsu C & Engzell UC. Efficacy of fine needle aspiration cytology in the diagnosis of tuberculous cervical lymphadenopathy. J Laryngol Otol 1990; 104: 24–27.

9.   Plikaytis BB, Eisenach KD, Crawford JT, Shinnick TM. Differentiation of Mycobacterium tuberculosis and Mycobacterium bovis BCG by a polymerase chain reaction assay. Mol Cell Probes1991; 5: 215-9.

10.Radhika S, Rajwanshi A, Kochhor S. Abdominal tuberculosis: Diagnosis by fine needle aspiration cytology. Acta Cytol 1993; 37: 673-8.

11.Kubica GP. Clinical Microbiology 1984. New York and Basel: Marcell Dekker Inc.

12.Wondwossen, Ergete, Alemayehu, Bekele. Acid fast bacilli in aspiration smear from tuberculous patients. Ethiop. J. Health Dev 2000; 14(1): 99-104.

13.Prasad RR, Narasimhan R, Sankaran V, Veliath AJ. Fine needle aspiration cytology in the diagnosis of superficial lymphadenopathy, an analysis of 2418 cases. Diagnostic Cytopathology 1996; 15(5): 382-6.

14.Nambuya A, Sewankambo N, Mugerwa J, et al. Tuberculous lymphadenitis associated with human immunodeficiency virus (HIV) in Uganda. J Clin Pathol 1983; 41: 93-96.

15.  Pao CC, Yen TS, You JB, Maa JS, Fiss EH, Chang CH. Detection and identification of Mycobacterium tuberculosis by DNA amplification. J Clin Microbiol 1990; 28:1877-80.