IMC Journal
IMC Journal
IMCJMS
Abstract (35)   Download PDF (25)   Print
Issue: Vol.16 No.2 - July 2022

Localization and management of mediastinal parathyroid adenoma – a case report

Authors:
Nusrat Sultana
Nusrat Sultana close
Affiliations

Department of Endocrinology, Bangabandhu Sheikh Mujib Medical University, Dhaka, Bangladesh

Amrit Rijal
Amrit Rijal close
Affiliations

Department of Endocrinology, Bangabandhu Sheikh Mujib Medical University

Hurjahan Banu
Hurjahan Banu close
Affiliations

Department of Endocrinology, Bangabandhu Sheikh Mujib Medical University

Sharmin Jahan
Sharmin Jahan close
Affiliations

Department of Endocrinology, Bangabandhu Sheikh Mujib Medical University

M Fariduddin
M Fariduddin close
Affiliations

Department of Endocrinology, Bangabandhu Sheikh Mujib Medical University

Bishnu Pada Dey
Bishnu Pada Dey close
Affiliations

Department of Endocrinology, Bangabandhu Sheikh Mujib Medical University

MA Hasanat
MA Hasanat close
Affiliations

Department of Endocrinology, Bangabandhu Sheikh Mujib Medical University

Abstract

Ectopic parathyroid adenoma sometimes poses diagnostic challenge and can be a cause of persistent and recurrent primary hyperparathyroidism. Anterior mediastinum is one of the locations for ectopic parathyroid adenoma. Surgical excision is the only cure and for successful surgery, pre-operative localization is crucial. Chance of failed surgery is being increased without prior localization of the ectopic gland. The combination of single photon emission computed tomography (SPECT) and computed tomography (CT) has got high sensitivity for accurate localization of ectopic parathyroid. On the other hand, with accurate localization surgical outcome is excellent. Here we report, successful localization and management of a case of primary hyperparathyroidism due to adenoma in anterior mediastinum in 47-year-old man.

IMC J Med Sci 2022; 16(2): 003. DOI: https://doi.org/10.55010/imcjms.16.013

*Correspondence: Dr. Nusrat Sultana, Room no-1620, Block-D, 15th floor, Department of Endocrinology, Bangabandhu Sheikh Mujib Medical University, Dhaka, Bangladesh. Email: nusrat_sultana@bsmmu.edu.bd

 

Introduction

Primary hyperparathyroidism results from excessive parathyroid hormone (PTH) secretion from parathyroid glands and is mostly due to the presence of one (75 to 80%) or more parathyroid adenoma (5%) [1]. The prevalence of ectopic parathyroid adenoma (EPA) is approximately 20% with primary hyperparathyroidism, but it is as high as 66% when repeat surgery is being done for recurrent or persistent hyperparathyroidism [2]. In a study over 1,500 patients of primary hyperparathyroidism who underwent surgery, ectopic parathyroid glands were found in 22% cases and were predominantly located in the thymus (38%) followed by 31% in the retro-esophageal region and 18% intra-thyroidal [3]. Among the various ectopic locations, mediastinal ectopic parathyroid adenomas constitute 1–2% [4]. For diagnosis of primary hyperparathyroidism, a combination of clinical features and laboratory findings of elevated serum calcium level with non-suppressed PTH is required [1,5]. The first line imaging studies are neck ultrasound and technetium 99 sestamibi (99mTc) scan though sensitivity of these methods is relatively low. However, combination of single photon emission computed tomography and computed tomography (SPECT-CT) increases sensitivity [2,6]. 4D-CT is superior to sestamibi scan in localizing hyperfunctioning parathyroid gland/adenoma or in case of multi gland disease [7]. Surgery is curative in case of primary hyperparathyroidism. EPA often poses diagnostic challenge and responsible for persistent or recurrent hyperparathyroidism [2]. But it can also be treated successfully by surgery with help of an accurate preoperative localization [4]. Thus the main challenge in managing EPA remains with proper localization and selection of surgical procedure. Here, we describe a case of mediastinal parathyroid adenoma detected successfully by SPECT-CT in a middle aged male patient who presented with features of hyperparathyroidism.

 

Case report

A 47-year-old man presented to Endocrinology outpatient department of Bangabandhu Sheikh Mujib Medical University (BSMMU) in March 2021 with the history of recurrent renal stones for last three years which was managed by urologist conservatively as the size of the stones were small. During evaluation he was found to have raised serum calcium level 11.8 mg/dl, high serum intact parathyroid hormone (S-iPTH) 221.10 pg/ml and low inorganic phosphate (iPO4) 1.7 mg/dl. He had complaints of anorexia, dyspepsia, fatigability, insomnia and some neuropsychiatric manifestations like depression, anxiety and burning sensation of whole body. On examination he was found mildly anemic, otherwise examination findings were unremarkable. Other laboratory reports showed low vitamin-D level [25(OH)D] 12.20 ng/dl, normal renal function and serum alkaline phosphatase level was within normal range. His bone mineral density (BMD) showed low T score in lumbar vertebrae and in both femoral neck, ─3.2, ─2.7 and ─2.9 respectively. Ultrasonogram (USG) of the abdomen revealed nephrocalcinosis and plain X-ray abdomen showed presence of left renal calculi. USG of the neck was done to find out the source of high PTH, which suggested mild thyromegaly only. The patient was then advised to perform fused SPECT-CT fusion imaging of neck and upper thorax. It showed the presence of parathyroid adenoma within the anterior mediastinum (Figure-1). Based on the above, the patient was diagnosed of having mediastinal parathyroid adenoma. Subsequently he was referred to the Department of Cardiothoracic surgery of BSMMU and an extended thymectomy with excision of ectopic parathyroid adenoma was carried out. Intra-operative blood sample for iPTH revealed a result of 18.5 pg/ml which was 221.10 pg/ml prior to surgery. Serum calcium was reduced to normal level (9.7 mg/dl) within one month. Histopathology confirmed the excised tissue as parathyroid adenoma (Figure-2).

 

 

Figure-1: SPECT-CT image of neck and upper thorax shows focal area of increased radiotracer concentration within the anterior mediastinum at the level of D3-D4.

 

 

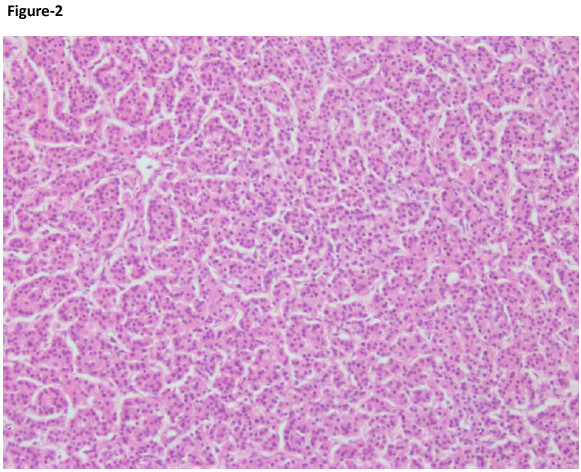
Figure-2: H&E 100x: Section shows a parathyroid neoplasm composed of mostly chief cells with thin fibrous capsule. These cells have round nucleus with scanty granular cytoplasm. Follicle formation is present. Stromal adipocytes are absent. Not much of atypia or mitosis is seen. No capsular or vascular invasion is seen.

 

The patient was discharged with vitamin-D supplementation with colecalciferol 1000 IU daily as maintenance dose. He was also prescribed bisphosphonate alendronate 70 mg on a weekly schedule until follow-up with repeat DEXA scan of bone after 2 years. The periodic follow-up over the next six months ensured successful excision of adenoma as evidenced by persistence of normal S-calcium and i-PTH levels. There was symptomatic improvement as well, though some features like burning sensation of body and sleep disturbance persisted to some extent initially. Finally, the patient became completely symptom free after six months of surgery and there was no more occurrence of new renal stone.

 

Discussion

This case report underlines the diagnostic workup and management of primary hyperparathyroidism (PHPT) due to ectopic parathyroid adenoma (EPA) located in anterior mediastinum. The classical presentations of PHPT which is commonly known as "bones, stones, abdominal groans, and psychic moans" are uncommon in the developed world but in a resource-limited country it is still the initial presentation [8]. In Western countries, asymptomatic patients of primary PHPT are detected during routine testing for serum calcium. They usually have mild hypercalcemia and serum calcium is usually below 11.5 mg/dl [9,10]. In course of time, approximately 30% of patients may develop classical manifestations like renal stone, nephrocalcinosis or skeletal manifestations [11]. Our patient was never being screened for calcium level before rather he was found to be hypercalcemic when he already had developed recurrent renal stone, nephrocalcinosis and some form of skeletal involvement. History of previous illness revealed that he had nonspecific symptoms like fatigability, anorexia, dyspepsia, depression, anxiety long before manifestation of renal stone. It has been reported in literature that patients in asymptomatic stage might actually have nonspecific symptoms [12].

Curative treatment of primary hyperparathyroidism involves surgical removal of the parathyroid adenomas whether the diseased gland is located in eutopic or ectopic position. Though preoperative localization of the gland is not obligatory in first time surgery but it helps to successfully carry out minimally invasive surgery [1]. But, in case of ectopically located gland, chance of failed surgery is high without prior localization. A number of localization techniques, both invasive and non-invasive procedures are available. In this case we tried to locate the source at first by ultrasound but it was unrevealing. Later on, without going for sestamibi scan alone we went for SPECT-CT fusion image of neck and upper thorax and the adenoma was spotted within the anterior mediastinum. For mediastinal parathyroid adenomas without prior imaging there is a reported failure rate of 30–36% [13]. The presence of EPA can be elusive sometimes. Various imaging modalities including ultrasonography, CT scan, magnetic resonance imaging (MRI), positron emission tomography (PET), Tc99m-Sestamibi scan, SPECT-CT fusion image of parathyroid are being utilized with variable sensitivity. Among these, ultrasound is the most widely used modality due to its low cost and easy availability and is good at locating adenomas in thyroid region, but it tends to miss ectopically located gland [4,14]. Tc99m-sestamibi scan is increasingly being utilized for the locating EPA with good sensitivity of up to 90% [15]. Moreover, SPECT combined with sestamibi scintigraphy which is a multiplane imaging provide three-dimensional image and thus further increase the sensitivity of detecting mediastinal adenoma [4]. A meta-analysis of 24 studies has demonstrated that SPECT-CT image is superior to planar and SPECT techniques alone in localizing EPAs [16]. CT alone has low sensitivity (45–55%) for parathyroid disease, but it is slightly better in detecting mediastinal parathyroid disease. The overall sensitivity of MRI is 78% and it goes up to 88% in mediastinal parathyroid glands. Invasive procedures like selective venous PTH sampling and selective angiography are seldom used because of its invasive nature [17]. In a case series on 16 patients by Akram et al. has reported that combination of SPECT-CT image of neck identified 39% more lesions compared with SPECT imaging alone [18]. This combination technique is used increasingly for routine preoperative localization of ectopic parathyroid adenomas [19].

Successful surgical outcome can be achieved by proper pre-surgical localization of the EPA. Removal of EPA routinely requires alternative surgical approaches than usual procedure for eutopic adenomas. Cervical approach is often not appropriate to reach mediastinal adenoma and sometimes parathyroid adenoma may be located deep in the mediastinum requiring thoracotomy or sternotomy [20]. In our case, surgical excision was done by approaching through sternotomy with successful outcome.

 

Conclusion

EPA can be treated successfully by surgical excision with pre-operative accurate localization. Though localization is often difficult, combination of SPECT-CT is an excellent tool for localizing mediastinal parathyroid adenoma. This case report demonstrated that SPECT-CT imaging of neck and upper thorax is an important diagnostic procedure for localization of an EPA.

 

Acknowledgement: The authors gratefully acknowledge the team of Cardiothoracic Surgery of BSMMU for the surgical maneuver.

 

Conflict of interest: Nothing to declare.

 

Informed consent: The patient has given consent for publication.

 

Funding source: None

 

References

1.     Melmed S, Koenig R, Rosen C, Auchus R, Goldfine A. Williams Textbook of Endocrinology. 14th ed. Philadelphia: Elsevier; 2020.

2.     Moron Fe, Parikh AM, Suliburk JW. Imaging Ectopic parathyroid adenoma. A literature review. Rev Colomb Radiol. 2019; 30(1): 5069-5080.

3.     Roy M, Mazeh H, Chen H, Sippel RS. Incidence and localization of ectopic parathyroid adenomas in previously unexplored patients. World J Surg. 2013; 37(1): 102-106.

4.     Zhou W, Chen M. A case report of mediastinal ectopic parathyroid adenoma presented as parathyroid crisis localized by SPECT/CT. Medicine (Baltimore). 2016; 95(41): e5157.

5.     Wilhelm SM, Wang TS, Ruan DT, Lee JA, Asa SL, Duh QY, et al. The American Association of Endocrine Surgeons Guidelines for Definitive Management of Primary Hyperparathyroidism. JAMA Surg. 2016; 151(10): 959-968.

6.     Noussios G, Anagnostis P, Natsis K. Ectopic parathyroid glands and their anatomical, clinical and surgical implications. Exp Clin Endocrinol Diabetes. 2012; 120(10): 604e610.

7.     Minhas P, Jadhav R, Singh J, Virmani S, Gupta K. Diagnostic performance of 4D-CT in cases of primary hyperparathyroidism with negative SPECT 99mTc Sestamibi scan. J Nucl Med. 2020; 61(supplement 1): 1162.

8.     Lazaretti-Castro M. The diagnosis of primary hyperparathyroidism in developing countries remains in the past century: still with bones, stone and groans. Arch Endocrinol Metab. 2020; 64(2): 101.

9.     Silverberg SJ, Clarke BL, Peacock M, Bandeira F, Boutroy S, Cusano NE et al. Current issues in the presentation of asymptomatic primary hyperparathyroidism: Proceedings of the Fourth International Workshop. J Clin endocrinol Metab. 2014; 99: 3580.

10.  Bilezikian JP, Silverberg SJ. Clinical practice. Asymptomatic primary hyperparathyroidism. N Engl J Med. 2004; 350(17): 1746-1751.

11.  Yu N, Leese GP, Smith D, Donnan PT. The natural history of treated and untreated primary hyperparathyroidism: the parathyroid epidemiology and audit research study. QJM. 2011; 104(6): 513-521.

12.  Trombetti A, Christ ER, Henzen C, Gold G, Blandle M, Hermann FR, et al. Clinical presentation and management of patients with primary hyperparathyroidism of the Swiss Primary Hyperparathyroidism Cohort: a focus on neuro-behavioral and cognitive symptoms. J Endocrinol Invest. 2016; 39(5): 567-576.

13.  Wang C, Gaz RD, Moncure AC. Mediastinal parathyroid exploration: a clinical and pathologic study of 47 cases. World J Surg. 1986; 10(4): 687–695.

14.  Fatimi SH, Inama H, Chaganb FK, Choudryc UK. Management of mediastinal parathyroid adenoma via minimally invasive thoracoscopic surgery: Case report. Int J Surg Case Rep. 2017; 40: 120-123.

15.  Krausz Y, L. Bettman L, Guralnik L, Yosilevsky G, keidar Z, Bar-Shalom R, et al. Technetium-99m-MIBI SPECT/CT in primary hyperparathyroidism. World J Surg. 2006; 30(1): 76-83.

16.  Wong KK, Fig LM, Gross MD, Dwamena BA. Parathyroid adenoma localization with 99mTc-sestamibi SPECT/CT: a meta-analysis. Nucl Med Commun. 2015; 36(4): 363-375.

17.  Shen W, Düren M, Morita E, Higgins C, Duh Q-Y, Siperstein AE, et al. Reoperation for persistent or recurrent primary hyperparathyroidism. Arch Surg. 1996; 131: 861–869.

18.  Akram K, Parker JA, Donohoe K, Kolodny G. Role of single photon emission computed tomography/computed tomography in localization of ectopic parathyroid adenoma: a pictorial case series and review of the current literature. Clin Nucl Med. 2009; 34: 500–502.

19.  Elaraj DM, Sippel RS, Lindsay S. Are additional localization studies and referral indicated for patients with primary hyperparathyroidism who have negative sestamibi scan results? Arch Surg. 2010; 145: 578–581.

20.  Kitada M, Yasuda S, Nana T, Ishibashi K, Hayashi S, Okazaki S, et al. Surgical treatment for mediastinal parathyroid adenoma causing primary hyperparathyroidism. J Cardiothorac Surg. 2016; 11: 44.

 

 

Cite this article as:

Sultana N, Rijal A, Banu H, Jahan S, Fariduddin M, Dey BP, Hasanat MA. Localization and management of mediastinal parathyroid adenoma - a case report. IMC J Med Sci. 2022; 16(2): 003. DOI: https://doi.org/10.55010/imcjms.16.013