IMC Journal of Medical Science (IMCJMS)

IMC Journal of Medical Science

Formerly Ibrahim Medical College Journal

IMCJMS
Abstract (1,183)   Download PDF (1,024)  Print
Issue: Vol.6 No.2 - July 2012
A rare case of intra-osseous meningioma of the sphenoid bone – a case report
Authors: Mahfuz Ara Ferdousi,

Affiliations: Department of Radiology and Imaging, Bangladesh Institute of Research & Rehabilitation in Diabetes Endocrine and Metabolic Disorders (BIRDEM), Shahbag, Dhaka, Bangladesh

Md. Mofazzal Sharif,

Affiliations: Department of Radiology and Imaging, Bangladesh Institute of Research & Rehabilitation in Diabetes Endocrine and Metabolic Disorders (BIRDEM), Shahbag, Dhaka, Bangladesh

Hijbul Bahar,

Affiliations: Department of Radiology and Imaging, Bangladesh Institute of Research & Rehabilitation in Diabetes Endocrine and Metabolic Disorders (BIRDEM), Shahbag, Dhaka, Bangladesh

A.S. Mohiuddin,

Affiliations: Department of Radiology and Imaging, Bangladesh Institute of Research & Rehabilitation in Diabetes Endocrine and Metabolic Disorders (BIRDEM), Shahbag, Dhaka, Bangladesh

ATM Mosharef Hossain,

Affiliations: Department of Neurosurgery, Bangabandhu Sheikh Mujib Medical University (BSMMU), Shahbag, Dhaka, Bangladesh

Sultana Gulshana Banu

Affiliations: Department of Pathology, Bangabandhu Sheikh Mujib Medical University (BSMMU), Shahbag, Dhaka, Bangladesh

Abstract

A 42-year-old female patient presented with loss of vision and proptosis of her right eye. Computerized tomography (CT) scan revealed hyperostotic lesion involving the right sphenoid ridge, anterior clinoid process and roof and lateral wall of orbit with mass effect on the intraorbital contents. CT findings were suggestive of intra-osseous meningioma arising from right sphenoid bone. Later, MRI of the brain and orbit and histopathology of the lesion confirmed the case as an intra-osseous meningioma of the sphenoid bone. Though meningioma of tuberculum sella and primary calvarial meningioma were reported earlier, intraosseous meningioma of the sphenoid bone is rare.

Ibrahim Med. Coll. J. 2012; 6(2): 73-75

Key words: Intra-osseous, meningioma, sphenoid

Address for Correspondence:Dr. Mahfuz Ara Ferdousi, Associate Professor, Radiology and Imaging, BSMMU, and Department of Radiology and Imaging, BIRDEM

 

Introduction

Meningioma of tuberculum sella and primary calvarial meningioma were reported in Bangladesh. But, no case of intra-osseus meningioma of sphenoid bone was reported earlier in our country. Here, a rare case of intra-osseus meningioma of sphenoid wing in a female is described which was initially suspected by CT scan of the brain and orbit.

 

Case Report

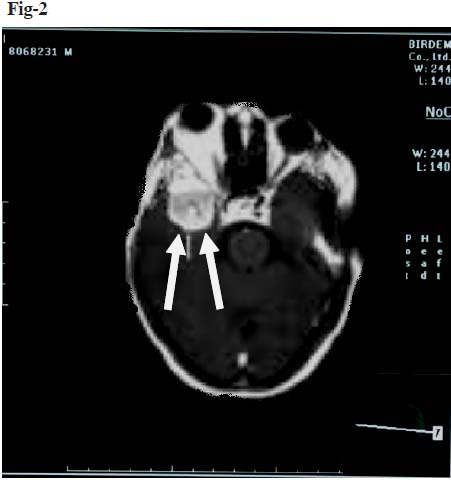
A 42 year old female presented with history of gradual protrusion of the right eye for two years with complete loss of vision of the same eye for the last two months. The patient was referred to Department of Radiology and Imaging, BIRDEM from the Department of Neurosurgery, BSMMU. She had history of itching of both upper and lower eyelids for one and half years and gradual dimness of vision of the right eye for last six months. Fundus examination of right eye revealed that there was temporal disc pallor with bulging of the optic disc. There was no motor or sensory in-coordination, gait deficit or any asymmetry in reflexes. She was mildly anemic. The biochemical investigations were unremarkable. Computerized tomography (CT) of the brain and orbit with and without contrast revealed iso-dense soft tissue mass in right infra temporal fossa along the lateral wall of the right orbital cavity displacing the right optic nerve to the left (Figure 1). The mass revealed strong homogenous enhancement. Bone window of CT showed hyperostosis and gross thickening with hazy margin of greater and lesser wings of the sphenoid bone, frontal process of zygomatic bone and adjacent part of squamus part of temporal bone on the right side. There was irregularity of inner table of the affected bones. CT findings suggested right sphenoidal meningioma with intraorbital, extracranial and infratemporal components. Thickening of right lateral and superior recti muscles were demonstrated. Polyostotic fibrous dysplasia was also suspected as differential diagnosis. MRI of the brain with orbit (T1 axial, sagittal and T2 axial) was done with and without gadolinium-DTPA scan. Irregular frank expansion and deformity of right sphenoidal wing, petro-temporo-zygomatic bone with intermediate signal intensity in T1WI and T2WI was demonstrated. There was strong contrast enhancement of the lesion (Figure 2). There was also linear thick nodular enhancement involving the dura overlying the right temporoparietal lobes. Right orbital canal and orbital fissure were narrowed with encroachment of right optic nerve. The finding was indicative of intraosseus meningioma.

The patient underwent resection of the mass, optic nerve decompression and tumor debulking with subsequent orbital reconstruction. Histopathological examination of the resected grayish white mass showed the presence of plump oval to elongated cells arranged in whorls and syncytial pattern. Some of these cells had intranuclear inclusions. The cells were infiltrating in between the bony trabeculae. Not much atypia or mitoses were seen. Histopathological diagnosis was an intraosseus meningioma (WHO grade1).

 

 

Fig-1. CT of the brain and orbit showing iso-dense soft tissue mass in right infra temporal fossa along the lateral wall of the right orbital cavity displacing the right optic nerve to the left (black arrow). Bone window of CT showed hyperostosis and gross thickening with hazy margin of greater and lesser wings of the sphenoid bone (white arrow).

 

 

Fig-2. MR image in T1 (contrast) weighted sequence showing irregular frank expansion and deformity of right sphenoidal wing suggesting possibilities of intraosseus meningioma, bony neoplasm or polyosteotic fibrous dysplasia.

 

Discussion

Meningiomas are the second most common primary neoplasm of the central nervous system arising from the arachnoid “cap” cells of the arachnoid villi in the meninges.1,2 They represent 15 % of all intracranial tumors and 90% of them are benign (WHO Grade I) and are encountered commonly between the age of 40 to 70 years with a male to female ratio of 1: 32.3,4 Meningiomas can be dural-based or extradural. The extradural subgroup has been referred to as ectopic, calvarial, cutaneous, extracranial, extraneuraxial and intra-osseous.5,6

Frontoparietal and orbital regions are the most common locations of intra-osseous meningiomas.7 All reported intraosseous meningiomas have been in the cranial bones.8 Extraneuraxial meningiomas can involve orbit, paranasal sinuses and nasopharynx. The symptoms of intra-osseous meningioma are mostly due to the compression of the surrounding structures as seen in our case. Dural involvement may cause pain.

One of the most important conditions that should be distinguished from intra-osseous meningioma is fibrous dysplasia as the treatment option is different. Fibrous dysplasia is a developmental disorder that is encountered at a younger age.9 There are bony expansions in both cases. But in fibrous dysplasia, the inner table of the skull is typically smooth. In intra-osseous meningioma, there is irregularity of the inner table as observed in our case in imaging. The condition is almost always associated with dural reaction. This irregularity is the key to distinguish the two conditions in imaging.10 In the present case, CT and MRI scan indicated intra-osseous meningioma due to features mentioned above although fibrous dysplasia was considered as differential diagnosis. Previously, meningioma in tuberculum sella and primary calvarial meningioma were reported in Bangladesh.11,12 But, no case of intraosseus meningioma of sphenoid bone was reported earlier in our country. The present case, as suspected by imaging, may be the first report of a rare intra-osseus meningioma of sphenoid wing in Bangladesh.

 

References

1.   Buetow MP, Buetow PC, Smirniotopoulos JG. Typical, atypical, and misleading features in meningioma. Radiographics, 1997; 11(6): 1087-106.

2.   Radhakrishnan K, Mokri B, Parisi JE, O’Fallon WM, Sunku J, Kurland LT. The trends in incidence of primary brain tumors in the population of Rochester, Minnesota. Ann Neurol 1995; 37: 67-73.

3.   Longstreth WT, Jr., Dennis LK, McGuire VM, Drangsholt MT, Koepsell TD. Epidemiology of intracranial meningioma. Cancer 1993; 72: 639-648.

4.   Tabernero MD, Espinosa AB, Maillo A, et al. Patient gender is associated with distinct patterns of chromosomal abnormalities and sex chromosome linked gene expression profiles in meningiomas. Oncologist 2007; 12: 1225-1236.

5.   Tokgoz N, Oner YA, Kaymaz M, Ucar M, Yilmaz G, Tali TE. Primary intraosseous meningioma: CT and MRI appearance. Am J. Neuroradiology 2005; 26: 2053-2056.

6.   Lang FF, Macdonald OK, Fuller GN, DeMonte F. Primary extradural meningiomas: a report on nine cases and review of the literature from the era of computerized tomography scanning. J Neurosurg 2000; 93: 940-950.

7.   Agrawal V, Ludwig N, Agrawal A, Bulsara KR. Intraosseous intracranial meningioma. Am J. Neuroradiology 2007; 28: 314-315.

8.   Chan SM, Miles JM. The pathology of meningiomas; in meningiomas. Al-Mefty O (ed). 2nd ed. New York, Raven Press 1995; 37-56.

9.   Harris WH, Dudley HR, Barry RJ. The natural history of fibrous dysplasia. An orthopaedic, pathological, and roentgenographic study. J Bone Joint Surg Am 1962; 44: 207-233.

10.Daffner RH, Yakulis R, Maroon JC. Intraosseous meningioma. Skeletal Radiology 1998; 27: 108-111.

11.Rahman L, Karmakar P. Giant meningioma of parieto-occipital lobe of brain–A case report. The Journal of Teachers Association 2003; 16(1): 30-31.

12.  Talha KA, Khan SH, Islam MT et al. A case of primary calvarial meningioma- A relative rare histologic subtype, Nepal J of Neuroscience 2009; 6: 68-71.