IMC Journal of Medical Science (IMCJMS)

IMC Journal of Medical Science

Formerly Ibrahim Medical College Journal

IMCJMS
Abstract (1,292)   Download PDF (1,049)   Print
Issue: Vol.6 No.1 - January 2012
Recurrent mediastinal lipoma: a case report
Authors: Jafreen Sultana,

Affiliations: Department of Radiology & Imaging, Ibrahim Medical College & Bangladesh Institute of Research & Rehabilitation in Diabetes Endocrine and Metabolic Disorders (BIRDEM), Shahbag, Dhaka, Bangladesh

Zinat Nasrin,

Affiliations: MD student, Bangladesh Institute of Research & Rehabilitation in Diabetes Endocrine and Metabolic Disorders (BIRDEM), Shahbag, Dhaka, Bangladesh

Md. Mahfuzar Rahman,

Affiliations: Department of Radiology & Imaging, Ibrahim Medical College & Bangladesh Institute of Research & Rehabilitation in Diabetes Endocrine and Metabolic Disorders (BIRDEM), Shahbag, Dhaka, Bangladesh

Nayeema Rahman,

Affiliations: Department of Radiology & Imaging, Ibrahim Medical College & Bangladesh Institute of Research & Rehabilitation in Diabetes Endocrine and Metabolic Disorders (BIRDEM), Shahbag, Dhaka, Bangladesh

Abul Khair Ahmedullah

Affiliations: MD student, Bangabandhu Sheikh Mujib Medical University (BSMMU), Shahbag, Dhaka, Bangladesh

Abstract

Mediastinal lipoma (ML) is a rare entity. Though the mediastinum is the most common site of intrathoracic lipoma, ML constitutes less than 1% of all mediastinal tumours. ML frequently presents on incidental radiographic finding, CT scan is considered the investigation of choice. CT features of lipoma are quite characteristic. They are clinically significant because: (1) Despite their benign nature, these tumours tend to reach an enormous size and can cause compression of lungs and mediastinal structures; (2) It may not always be possible to differentiate a ML from a liposarcoma by CT or MRI alone.

Ibrahim Med. Coll. J. 2012; 6(1): 37-38

Key words: Mediastinal, lipoma

Address for Correspondence:Dr. Jafreen Sultana Assistant Professor, Department of Radiology & Imaging, Ibrahim Medical College & BIRDEM Hospital, 122 Kazi Nazrul Islam Avenue, Shahbagh, Dhaka, Bangladesh

 

Introduction

Most mediastinal lipoma are discovered incidentally. Although lipoma are the most common benign neoplasm, its occurrence within the thoracic cage is uncommon. In contrast to the frequently multiple subcutaneous lipoma, intrathoracic lipoma is usually a single lesion. Multiple intrathoracic lipomas have been reported rarely.1

 

Case Report

A 32-year-old diabetic lady got herself admitted in BIRDEM hospital in 2009 with the complaints of breathlessness on exertion and dry cough for 1 year. Initially the breathlessness was on exertion but for the last 2 months it started even during supine posture which impaired her sleep. She had no history of chest pain, haemoptysis, fever and weight loss. On general examination she was mildly anemic. No lymph nodes were palpable. Systemic examination revealed grossly diminished breath sound on left side. Laboratory investigation showed slightly raised SGPT.

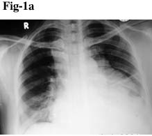
On admission chest radiograph and CT scan were done. Chest X-ray P/A view showed a lobulated opacity in the left mid and lower zones near paracardiac location obscuring the left cardiac border and left hemidiaphragm. Ill-defined opacity was also seen in the right lower zone (Fig. 1a).

 

 

Fig 1(a). Chest X-ray P/A view shows the lobulated opacity in the left mid and lower zones.

 

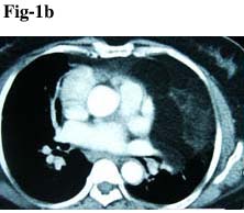
Contrast enhanced CT scan of chest revealed a well encapsulated non-enhancing fat density (-80 to -100 HU) lesion in the anterior mediastinum, almost completely occupying and compressing the left lung field. No solid component or calcification was seen (Fig 1b). CT guided FNAC revealed a lipomatous neoplasm.

 

 

Fig 1b. Contrast enhanced CT scan of chest shows the non-enhancing fat density lesion in the anterior mediastinum.

 

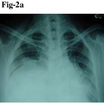
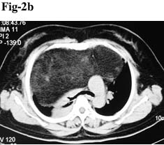
Her past history revealed that in the year 2002, the patient had a thoracotomy for anterior mediastinal mass. The patient was admitted with the same complain and a chest X-ray (Fig. 2a) and subsequent CT scan (Fig. 2b) revealed a large lesion mostly in right hemithorax and partly on the left side with evidence of compression on superior vana cava and pulmonary arteries with their posterior displacement. Significant lung compression was also present at that time. The patient underwent right sided thoracotomy on February 2002. The encapsulated mass was completely excised including the capsule. Histopathology revealed lipoma and no evidence of malignancy. Post operative recovery was uneventful with satisfactory lung expansion. The patient was alright for the last few years but again developed the same complaints of dyspnoea (2009) and was admitted in the hospital once again. As mentioned ealier, X-ray and CT scan revealed a lipomatous lesion which was subsequently cinfirmed by CT guided FNAC. The final radiological diagnosis was recurrence of mediastinal lipoma.

 

 

Fig 2a. Chest X-ray P/A view shows a large homogenous opacity in right hemithorax involving the mid and lower zones.

 

 

Fig 2b. CT scan of chest shows a large, non-enhancing hypodense mass in the anterior mediastinum.

 

 

Discussion

Lipomas are well circumscribed mesenchymal tumors that originate from adipose tissue.2 They occur predominantly in the anterior mediastinum and are reported to represent 1.6-2.3% of all primary mediastinal tumours.3,4 Because of the slow growth of the lesions, the presenting symptoms are often due to mass effect (i.e., compression of primary bronchi, esophagus, phrenic nerve, or vagus nerve). Symptoms can include dysphagia, dyspnea, dry cough, jugular distension, and cardiac arrhythmias.2

At CT, lipomas have homogenous fat attenuation of approximately -100 to -200 HU. MR imaging can also show the extent and fatty nature of the lesion.

Simple excision of this well-demarcated tumor can be performed if it is symptomatic.

ML should not be confused with mediastinal lipomatosis which is a condition characterized by excessive un-encapsulated infiltrative fat deposition. Lipomatosis is commonly associated with obesity and exogenous steroid administration.

In its undifferentiated form, a liposarcoma may be identifiable from a lipoma due to the higher density and better enhancement. But this differentiation is lost in a well-differentiated and encapsulated liposarcoma.5 For this reason a complete excision is the diagnostic and therapeutic modality of choice. Where surgery is not contemplated as in small and asymptomatic lesion, a needle biopsy or a thoracoscopic incisional biopsy is necessary. When the report is a liposarcoma, an excision is essential. A biopsy picture of a lipoma in such a patient may be managed by clinical and chest CT follow up. When attempted, surgical removal of lipoma must be completed due to a tendency of recurrence.

 

Conclusion

The present case demonstrates a recurrence of ML. Although histopathologically the case was proven to be a benign lesion, the recurrence reflects a rare characteristic of a benign neoplasm.

 

References

1.   Johansson L, Soderlund S. Intrathoracic lipoma. Acta chir Scand 1963; 126: 558-565.

2.   Cutilli T, Schietroma M, Marcelli VA, Ascani G, Corbacelli A. Giant cervico-mediastinal lipoma: a clinical case. Minerva Stomatol 1999; 48: 23-28.

3.   Baris YI, Kalyoncu AF, Aydiner A, Gulekon N, Eryilmaz M, Selcuk ZT, Sahin AA. Intrathoracic lipomas demonstrated by Computed Tomography. Respiration 1990; 57: 77-80.

4.   Politis J, Funahashi A, Gehlsen JA, DeCock D, Stengel BF, Chobi H. Intrathoracic lipomas: Report of three cases and review of the literature with emphasis on endobronchial lipoma. J Thorac Cardiovasc Surg 1979; 77: 550-556.

5.   Tanaka F, Kitano M, Tatsumi A, Huang CL, Nagasawa M. A case of mediastinal liposarcoma. Nippon Kyobu Geka Gakkai Zasshi. J Jpn Thoracic Surg Soc 1992; 40: 1125-1130.