IMC Journal of Medical Science (IMCJMS)

IMC Journal of Medical Science

Formerly Ibrahim Medical College Journal

IMCJMS
Abstract (1,156)   Download PDF (1,034)  Print
Issue: Vol.4 No.2 - July2010
A prophylactic amputation
Authors: Faria Afsana,

Affiliations: Preventive Foot Care Unit, Bangladesh Diabetic Samity (BADAS), Shahbag, Dhaka, Bangladesh

Tofail Ahmed,

Affiliations: Preventive Foot Care Unit, Bangladesh Diabetic Samity (BADAS), Shahbag, Dhaka, Bangladesh

Hajera Mahtab

Affiliations: Preventive Foot Care Unit, Bangladesh Diabetic Samity (BADAS), Shahbag, Dhaka, Bangladesh

Abstract

A case of amputation of the fourth toe is described in a diabetic patient. The patient had overlapping of third and fourth toes since her childhood and later she developed soft lipomas over the fourth toe and lateral aspect of the dorsum of the foot. The lipomas were excised without relief of pain. Subsequently, the fourth toe was disarticulated with relief of pain and healing of ulcers. The role of prophylactic amputations in such cases is described.

Ibrahim Med. Coll. J. 2010; 4(2): 87-89

Key words: Diabetes, amputation, ulcer.

Address for Correspondence:Dr Faria Afsana, Preventive Foot Care Unit, BIRDEM, 122 Kazi Nazrul Islam Avenue, Dhaka, Bangladesh. e-mail: fariaafsana@yahoo.com

 

A 44years lady, schoolteacher was diagnosed as impaired glucose tolerance (IGT) in the year 2003. Subsequently, she developed diabetes and it was confirmed by oral glucose tolerance test (OGTT) in 2004. She was clinically examined and biochemical investigations were done. She did not have any cardiac and renal impairment. Ocular examination revealed nothing abnormal. Her glycemic control was maintained by dietary adjustment and regular physical exercise. She did not require any anti-diabetic drug treatment.

 

Fig-1. Foot at Presentation

 

In 2005, she reported to ‘foot care unit of BIRDEM’ with pain in right 3rd and 4th toe with watery discharge from right 3rd toe for last one month. She informed that her right 4th toe is crowded over the 3rd toe since her childhood. Examination of her foot revealed multiple soft tissue swellings over right 4th toe and lateral aspect of dorsum. The right 4th toe overlapped the 3rd toe. There was a callus on the lateral aspect of 3rd toe at the friction point. There was no discharge from the callus at the time of examination. Overlying skin of both feet including nails and interdigital spaces  were found healthy. Both peripheral pulses were palpable. Vibration perception was found normal with VPT 10 V on both feet. Her sensation to monofilament was also normal. Despite all normal findings she had mild limping of gait on the right and she had to wear a larger shoe in her right foot.

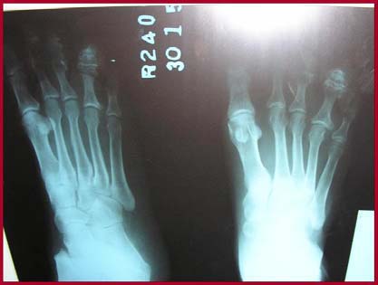
Radiological examination revealed that there were expansion and deformity of right 3rd and 4th toe with osteophytosis.

 

Fig-2. X-Ray of the Foot

 

After all these clinical examination and radiological findings she was advised to maintain a posture with mechanical devices so that the 2nd, 3rd, 4th toes were kept separated. On trying to keep the toes apart they become very much painful. She consulted a surgeon. The surgeon identified several subcutaneous lipomas in the flexor tendon of 4th toe and these were excised and removed to relieve overlapping 4th on the 3rd.

 

Fig-3. After tendon excision

Following surgery she got relieved of pain. Two weeks later she developed severe pain and difficulty in walking. A thorough surgical review was done. It was decided to disarticulate the 4th toe. The patient was informed about the decision. She gave her consent and disarticulation of 4th toe was undertaken.

 

Fig-4. Foot after disarticulation

Gradually the friction site of the 3rd toe totally healed. The size of callus reduced and eventually it was no more detectable. Her gait started normalizing with the decreasing intensity of pain to a stage of completely pain free. Now, she is in regular follow up in foot care unit, BIRDEM wearing shoes of same size in both feet.

 

Fig-5. Two weeks following Surgery

 

Discussion

Structural foot deformity, ulceration, infection are common risk factors for amputation of the diabetic foot.1 Most diabetic foot ulcers form over areas of bony prominences. Foot deformities lead to focal areas of high pressure. Rigid deformities or limited range of motion at the foot joints have also been associated with the development of foot ulcers.2 Altered foot biomechanics, limited joint mobility, and bony deformities have been associated with an increased risk of ulceration and amputation among patients with diabetes.3,4

 

Conclusion

Bony deformities increase the risk of foot ulceration. Deformities lead to bony prominences, areas of high-localized pressure and total weight bearing area of foot is reduced. The overlying skin is subjected to high mechanical pressure. Deformities should be recognized and treated early to avoid callus and foot ulcer.5 Foot care education is an integral component of diabetes management. Proper education about foot care and warning signs of foot can save a foot from serious complications.

 

Acknowledgement

We highly acknowledged all the support of BIRDEM, Kader Memorial Foot Care Hospital and NHN.

 

References

1.   Gibbons G, Eliopoulos GM. Infection of the diabetic foot. In: Kozak GP et al., eds. Management of diabetic foot problems. Philadelphia: Saunders, 1984; 97-102.

2.   Fernando DJ, Masson EA, Veves A, Boulton AJ. Relationship of limited joint mobility to abnormal foot pressures and diabetic foot ulceration. Diabetes Care 1991; 14: 8-11.

3.   American Diabetes Association. Preventive foot care in people with diabetes. Diabetes Care 2000;      23(Suppl 1): S55–6.

4.   Van Acker K, De Block C, Abrams P et al. The choice of diabetic foot ulcer classification in relation to the final outcome. Wounds 2002; 14: 16–25.

5.   Pendscy S. Deformities. In: Diabetic foot: A Clinical Atlas, 1st ed, New Delhi, Jaypee Brothers Medical Publishers (P) Ltd 2003; 53-57.