IMC Journal of Medical Science (IMCJMS)

IMC Journal of Medical Science

Formerly Ibrahim Medical College Journal

IMCJMS
Abstract (1,296)   Download PDF (1,130)   Print
Issue: Vol.3 No.1 - January 2009
Large Cell Neuroendocrine Cancer (LCNEC) of uterine cervix
Authors: Gehanath Baral,

Affiliations: Department of Obstetrics & Gynaecology, PMW Hospital, Kathmandu, Nepal

Reetu Sharma

Affiliations: Department of Pathology, KIST Medical College, Kathmandu, Nepal

Abstract

A rare type of cervical cancer was encountered as a neuroendocrine cancer of cervix. Clinically, the patient presented with bleeding per vagina. She refused biopsy in her first visit and did not come for follow up. However, after few months she came and since there was a polypoid growth from cervix, she was advised to undergo hysterectomy. Histopathologically, it was diagnosed as large cell type of neuroendocrine cancer. Multimodality systemic treatment was offered as per literature.

Ibrahim Med. Coll. J. 2009; 3(1): 36-38

Key words: Uterine cervix, neuroendocrine cancer (NEC), human papilloma virus (HPV)

Address for Correspondence: Dr. Gehanath Baral, Senior Consultant, Dept. of Obstetrics & Gynaecology, Paropakar Maternity and Women’s Hospital, Thapathali, Kathmandu, Nepal. E-mail: gehanath@gmail.com

 

Introduction

Large cell neuroendocrine carcinoma (LCNEC) of the uterine cervix is a very rare malignancy (less than 5% of all cervical malignancies) that is highly aggressive with unfavorable outcomes.1,2 These tumors have been classified into four categories: small cell, large cell, classic carcinoid, and atypical carcinoid. Most patients with early stage disease develop metastasis. Frequent metastatic sites include the central nervous system, lung, and bone.3 Despite aggressive surgical therapy, even in early-stage patients, mortality is high. This propensity for rapid, local and distant spread in early-stage disease emphasizes the need for systemic treatment.2 In some cases, the initial diagnosis maybe confused with either poorly differentiated squamous- or adeno-carcinomas.3

 

Case history

A 45 year old, grandmultipara, whose last childbirth was 5 years ago, came to ObGyn OPD, for the first time, from a remote area of Nepal, in September 2005. She had a history of irregular bleeding and whitish discharge per vagina since last 6-7 months. She had no other complain. On pelvic examination, there was a growth of 4x4 cm, arising from the posterior lip of the cervix. The growth was soft and bled on touch. Uterine size was normal, no parametrial thickening and no palpable adnexal masses could be palpated. She was advised to have diagnostic biopsy which she declined. She however came back after five months and was advised to undergo biopsy which she denied but opted for a total abdominal hysterectomy with bilateral salpingo-oophorectomy. Part of the parametrium was also excised along with the uterus which looked grossly normal. There was no ascites, no abnormality in abdominal visceras and no palpable lymph nodes. Uterine body, tubes and ovaries looked normal. Post operative period was uneventful.

 

Results

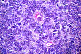
Grossly, on cut section, the tumor showed a yellowish white mass located in the posterior lip of cervix, measuring approximately 4 cm in diameter with gray white areas (Figure 1). Tissues were sectioned, stained with hematoxyllin and eosin and evaluated under light microscopy. Sections showed tissue lined by stratified squamous epithelium (Figure 2). Underlying stroma showed a tumor composed of malignant cells arranged in clusters, trabeculae, insular pattern, and solid sheets. The cells showed pallisading at the periphery of the clusters (Figure 3). Clear cleft like retraction spaces were seen around the cell clusters. At some areas the cells were arranged around blood vessels. At several foci the cells formed numerous rosettes and pseudo rosettes (Figure 4). The cells showed moderate cytoplasm with oval to round nuclei with mild pleomorphism and fine to coarse chromatin. Atypical mitotic figures were observed. The criterion used to diagnose the disease entity was, a tumor of the uterine cervix composed of relatively uniform medium to large cells exhibiting neuroendocrine differentiation apparent by light microscopy, as evidenced by trabecular or insular arrangements of the cells, eosinophilic cytoplasmic granules of the type seen in neuroendocrine cells, or both of these features.4 Thus the histopathological diagnosis was “large cell type of neuroendocrine cancer of uterine cervix and surgical margins free of tumor.”

   

Fig-1. Gross specimen

 

Fig-2. Adjacent stratified squamous epithelium of the ectocervix (10X, hematoxyllin and eosin stain)

  

Fig-3. Insular pattern with peripheral pallisading (10X, hematoxyllin and eosin stain)

 

Fig-4. Perivascular pseudo rosettes (40X, hematoxyllin and eosin stain)

 

After getting histopathology report she was referred for radiotherapy. She received both brachytherapy and teletherapy along with adjuvant chemotherapy. During the follow up for next 3 months after surgery, she was doing well.

 

Table-1: Histopathological Criteriafor the diagnosis of NEC of uterine cervix3,5,7,11

 


 

Discussion

Large cell neuroendocrine carcinoma (LCNEC) of the uterine cervix is a rare malignancy that is highly aggressive and usually results in unfavorable outcomes. They are rarely discovered on routine Pap smear due to the submucosal location of the tumor with intact overlying mucosa in its earlier stages. The 5-year survival rate is similar to that of small cell type i.e. 14-39%.5

Early cases are asymptomatic. Usual presentation will be irregular vaginal bleeding,2 postcoital vaginal spotting and sanguineous vaginal discharge. Pelvic examination may reveal either cervical erosion or a cervical growth. It is quite possible that LCNECsare frequently misdiagnosed as poorly differentiated squamouscell carcinomas or poorly differentiated adenocarcinomas, basedupon the identification of focal areas of squamous or glandulardifferentiation, respectively.3,6,7 In such cases, the subtleneuroendocrine features of the large cell neoplasm are easilyoverlooked. In such cases neuroendocrine markers will be of help.

Early-stage large cell neuroendocrine tumors of the cervixareag gressiveun likes quamouscell carcinomas. Multimodal therapy should be considered at the time of initial diagnosis. Based on the rarity of cervical neuroendocrine tumors it is difficult to perform large-scale randomized control trials to delineate optimal therapy. Therefore, the basis for treatment of large cell neuroendocrine tumors is derived from therapy for small cell cervical carcinoma and small cell lung carcinoma.2,3 Due to the rarity of this tumor even in pulmonary LCNEC, the incidence, prognosis and optimal treatment remain undetermined.8-10 Large cell neuroendocrine tumors of the cervix are uncommon, and typically the patients have a poor prognosis. Disease recurrences are frequent and distant metastasis is common.2,9 Frequent metastatic sites include the central nervous system, lung and bone.

 

Conclusion

Our case study reports that LCNEC may present as a bleeding cervical polyp. It should be interpreted carefully on histopathology so that it is not misdiagnosed as poorly differentiated carcinoma of cervix. Since LCNEC is an aggressive tumor, multimodality treatment is advised for the benefit of the patient to reduce mortality.

 

Acknowledgement

Thanks to the Fewacity Hospital and Research Center and Department of Pathology, Manipal Teaching Hospital, Pokhara.

 

References

1.   Tsou MH, Tan TD, Cheng SH, Chiou YK. Small cell carcinoma of the uterine cervix with large cell neuroendocrine carcinoma component. Gynecol Oncol 1998; 68(1): 69-72.

2.   Boruta DM, 2nd, Schorge JO, Duska LA, Crum CP, Castrillon DH, Sheets EE. Multimodality therapy in early-stage neuroendocrine carcinoma of the uterine cervix. Gynecol Oncol 2001; 81(1): 82-7.

3.   Krivak TC, McBroom JW, Sundborg MJ, Crothers B, Parker MF. Large cell neuroendocrine cervical carcinoma: a report of two cases and review of the literature. Gynecol Oncol 2001; 82(1): 187-91.

4.   Gilks CB, Young RH, Gersell DJ, Clement PB. Large cell neuroendocrine carcinoma of the uterine cervix: a clinicopathologic study of 12 cases. Am J Surg Pathol 1997; 21(8): 905-14.

5.   WHO classification of tumors. Tumors of the Breast and Female Genital Organs. 2003.

6.   Grayson W, Rhemtula HA, Taylor LF, Allard U, Tiltman AJ. Detection of human papillomavirus in large cell neuroendocrine carcinoma of the uterine cervix: a study of 12 cases. J Clin Pathol 2002; 55(2): 108-14.

7.   Sato Y, Shimamoto T, Amada S, Asada Y, Hayashi T. Large cell neuroendocrine carcinoma of the uterine cervix: a clinicopathological study of six cases. Int J Gynecol Pathol 2003; 22(3): 226-30.

8.   Ko ML, Jeng CJ, Huang SH, Shen J, Chen SC, Tzeng CR. Large cell neuroendocrine carcinoma of the uterine cervix associated with adenocarcinoma. Taiwan J Obstet Gynecol 2007; 46(1): 68-70.

9.   Tangjitgamol S, Manusirivithaya S, Choomchuay N, Leelahakorn S, Thawaramara T, Pataradool K, et al. Paclitaxel and carboplatin for large cell neuroendocrine carcinoma of the uterine cervix. J Obstet Gynaecol Res 2007; 33(2): 218-24.

10.Hage R, Seldenrijk K, de Bruin P, van Swieten H, van den Bosch J. Pulmonary large-cell neuroendocrine carcinoma (LCNEC). Eur J Cardiothorac Surg 2003; 23(4): 457-60.

11.Albores-Saavedra J, Gersell D, Gilks CB, Henson DE, Lindberg G, Santiago H, et al. Terminology of endocrine tumors of the uterine cervix: results of a workshop sponsored by the College of American Pathologists and the National Cancer Institute. Arch Pathol Lab Med 1997; 121(1): 34-9.