IMC Journal of Medical Science (IMCJMS)

IMC Journal of Medical Science

Formerly Ibrahim Medical College Journal

IMCJMS
Abstract (1,201)   Download PDF (1,155)  Print
Issue: Vol.2.No.1 - January 2008
UNRELATED DONOR MARROW TRANSPLANTATION FOR A CASE OF CHIÉDIAK-HIGASHI SYNDROME WITH HEREDITARY ELLIPTOCYTOSIS
Authors: Abu Sharif Moh’d Akramul Islam,

Affiliations: Department of Pathology & Laboratory Medicine, Madinah Maternity & Children Hospital, Madinah Munawarah, KSA

Md. Sirazul Islam,

Affiliations: Department of Laboratory, BIRDEM Hospital, 122 Kazi Nazrul Islam Avenue, Shahbag, Dhaka

Zakaria Muhammad Hawsawi

Affiliations: Department of Paediatrics, Madinah Maternity & Children Hospital, Madinah Munawarah, KSA

Introduction

Chédial-Higashi syndrome (CHS) in an autosomal recessive disease with delayed microbial killing caused by mutation of the lysosomal trafficking gene termed CHS1 (LYST) gene which is located in the long arm of human chromosome number one (1q)1,2. CHS was described first by Begnez Cesar in 1943 and later by Steinbrick in 1948, Chédial: in 1952 and Higashi in 19543. Chédial: described the full clinical and haematological features including large inclusion like peroxidase positive granules in the blood and bone marrow granulocytes4. About 50-80% of patients enter into an “accelerated phase” which is characterized by generalized lymphohistiocytic infiltrates, fever. jaundice, hepatosplenomegaly, lymphadenopathy, pancytopenia and bleeding5,6. The disease is often fatal in childhood as a result of infections, bleeding and development of accelerated lymphoma-like phase. Survival into the second and third decades has been reported but invariably leads to premature death7. After the first description of CHS to date, around 170 human cases are mentioned in the literature worldwide.

Allogenic bone marrow or stem cell transplantation is the treatment of choice to correct the haematological manifestation and immunological status in this disease. Bone marrow transplantation (BMT) is indicated before the accelerated phase of the disease develops otherwise the affected children usually die before the age of 10 years. So far, only one patient of CHS underwent BMT from an unrelated donor8. This case report of ours is probably the second till year 2000 and the first case with coexistent hereditary elliptocytosis (HE).

 

Case Report

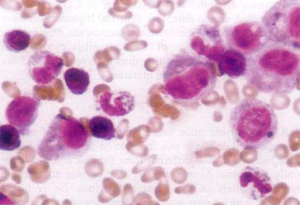
A seven year old partially albino Saudi boy, product of normal pregnancy and delivery was first admitted to Madinah Maternity and Children Hospital at the age of two years with the complaints of fever, diarrhoea and vomiting. Clinical examination and investigations revealed anaemia, neutropenia and thrombocytopenia (Pancytopenia), mild hepatosplenomegaly with mild unconjugated hyperbilirubinaemia. Since the age of one year he had been admitted to several hospitals for recurrent infections with similar presentations. Based on clinical findings and peripheral blood and bone marrow morphology i.e. giant abnormal granules in leucocytes and their precursors (Figures 1a and 1b), the child was diagnosed as a case of Chédial Higashi syndrome (CHS) with hereditary elliptocytosis (HE). Dominant elliptocytosis was confirmed by blood film morphological findings of both parents, one being normal and another having elliptocytosis. One of the paternal uncles (younger brother of father) of the patient had suffered from acute lymphoblastic leukemia at the age of eight years who died of his disease at the age of 11 years in spite of conventional chemotherapy.

 

Fig-1a: Blood film showing elliptocytosis and giant inclusions in a polymorph (Wright’s stain).

 

The parents are second-degree cousins and the boy is their first child. By this time, they have two other daughters and one more son all of whom are physically well.

 

Fig-1b: Bone marrow smear showing giant inclusions in precursors and elliptocytosis of red cells (Wright’s stain).

 

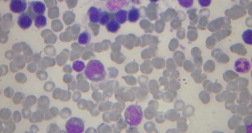
After initial diagnosis and counseling, the patient’s parents decided to go abroad (Germany) for further evaluation and management of the patient. The diagnosis was confirmed and a BMT was performed from an HLA-matched unrelated donor. BMT was successful and the patient is disease free after five years of follow up. He is cured of both CHS and HE as evidenced by clinical and morphological evaluation. He is now all right save for partial albinism. No more symptoms or signs of the disease are present. Haematological and biochemical parameters reveal normal findings including normal granularity of peripheral blood and bone marrow leucocytes and their precursors (Figure 2).

 

Fig-2: Photomicrograph of bone marrow smear after successful ailogenic bone marrow transplantation. There is no evidence of’ elliptocytosis in red blood cells and no giant granules in mycloid precursors or polymorphs. (Wright-Giemsa stain)

 

Discussion

Chédial-Higashi syndrome (CHS) is a rare autosomal recessive disease with no sex predilection. There are a number of animal models including mouse, cat, cattle, Aleutian mink and killer whale9. The primary defect is caused by mutation of the lysosomal trafficking gene2, first recognized in 1996 as the CHS1 (LYST) gene and is located on bands 1q of chromosome number one.

A significant number of CHS cases have been reported to off springs of consanguineous parents10,11 like our case. Other reports have mentioned children of unrelated parents12. CHS is a disease of infancy and early childhood and only few patients survive into their teenage. The homozygous children usually manifest by partial occulocutaneous albinism, pale retina, transient iriditides and photosensitive dermatitis, and later with recurrent pyogenic infections of respiratory tract, mouth, and skin with increased bleeding tendency5,6. The disease remains mostly quiescent in early childhood with minor infections in over 85% cases until changes to the lymphoma like “accelerated phase” which is characterized by refractory fever, jaundice, hepatosplenomegaly, lymphadenopathy, pancytopenia, coagulopathy, peripheral neuropathy and lymphohistiocytic organ infiltrates, leading to infections and death6,12,13 Approximately half of the patients develop neurological manifestations like peripheral neuropathy, long tract signs, seizures and mental impairment9,12. This child was healthy until 12 months of age when first presented with recurrent fever, hepatosplenomegaly, occasional diarrhoea and vomiting but no neurological manifestations probably due to early detection. Some patients present only with manifestations probably due to early detection. Some patients present only with albinism without any other clinical stigmata, even infections are absent11. Our patient was born with ashen-grey hair and light complexion (partial albinism) with normal eyes. Fukai et al. reported a case of a Japanese female child of consanguineous parents presenting with hyper-pigmented skin of sun-exposed areas. She was healthy until 12 years of age when she developed pneumonia with hepatosplenomegaly14.

Common conditions in a child presenting with these features usually include malaria, sickle cell anaemia, Kala Azar, or hepatitis. Other conditions like infectious mononucleosis, malignancy, and haemolytic anaemias should also be excluded. Usually, the first clue to diagnosis is the giant granulations in the leucocytes of peripheral blood smear, which may be confirmed by bone marrow examination with peroxidase staining and examination of the hair15. None of the literature has mentioned the coexistence of hereditary elliptocytosis. Our reported case had evidence of coexisting HE, which might as well be the first reported case.

Thrombocytopenia and leucopenia present was probably due to storage pool defects and intra-medullary granulocyte destruction respectively. Most of the reported cases demonstrate thrombocytopenia, coagulopathy and leucopoenia3,8. In our case the clinical picture and laboratory data without biopsy indicates that the disease was in an “accelerated phase”.

Prenatal diagnosis can help for therapy and bone marrow transplantation (BMT) before the accelerated phase of CHS has developed. Haddad et al.16 reported the outcome of BMT in 10 such children - seven from HLA identical related donor and three from an HLA nonidentical related donor. The former is an acceptable curative treatment for ChS, whereas the HLA -nonidentical BMT remains an experimental approach. Interestingly, BMT prevented recurrence of the accelerated phase but occulocutaneous albinism was unaffected. Only one case is known so far, where a one-month-old boy was treated with BMT from an HLA matched unrelated donor. An accelerated phase did not develop during 27 months follow up11. BMT of our case was done from an unrelated donor. The child is clinically well and has been cured of CFIS as well as HE after five years follow-up.

The importance of careful examination of blood film by an experienced morphologist (haemato-pathologist) cannot be overemphasized. The diagnosis becomes easier when the crucial leucocyte finding of abnormal giant granulation is detected. Since the disease is usually lethal in the first decade, BMT is the only curative approach. BMT from an unrelated donor may be an effective treatment option when sibling donors are not available.

 

 

References

1.  Ramsay M. Protein trafficking violations. Nat Genet 1996; 14: 242-5.

2.  Introne W, Boissy RE, Gahl WA. Clinical, molecular, cell biological aspects of Chédial-Higashi syndrome. Mol Gen Metab 1999; 68: 283-303.

3.  Sato A. Chédiak and Higashi’s disease. Probable identity of “new leukocyte anomaly” (Chédiak) and “congenital gigantism of peroxidase granules” (Higashi) Tohoku J Exp Med 1955; 61: 201.

4.  Chédiak MM, Nouvelle anomalie leulcocytaire de charactere canstitutionel et iamilial. Hematologie 1952; 7: 362.

5.  Bejaoui M, Verber F, Girault D, Gaud C, Blanche S, Griscelli C et al. The accelerated phase of Chédial-Higashi syndrome. Arch Fr Pediatr 1989; 46: 733-6.

6.  Rubin CM, Burke BA, McKenna RW, McClain KL, White JG, Nesbit ME et al. The accelerated phase of Chédiak-Higashi syndrome: an expression of the virus - associated hemophagocytic syndrome. Cancer 1985; 56: 524-30.

7.  Miale TB. The Chédiak-Higashi syndrome. Textbook of Laboratory Medicine: Hematology. 6th edition. St Louis: CV Mosby Co; 1982.

8.  Liang JS, Lu My, Tsai MJ, Lin DT, Lin KH. Bone marrow transplantation from an HLA - matched unrelated donor for treatment of Chédiak-Higashi syndrome. J formos Mcd Assoc 2000; 99(6): 499-502.

9.  Williams WJ, Beutler E, Erslev AJ, Lichtman MA. Chédiak-Higashi syndrome. In: Hematology. 4th edition. New york: McGraw-Hill Publishing Company, 1991; 821-4.

10.Zhao H, Boissy YL, Abdel-Malek Z, King RA, Nordlund JJ, Boissy RE et a1. On the analysis of the pathophysiology of Chédiak-Higashi syndrome. Defects expressed by cultured melanocytes. Lab Invest 1994; 71: 2534.

11.Katzot D, Richter K, Gierth-Fiebig K. Oculocutaneous albinism, imrnunodeticiency. Hematological diagnosis of minor abnormalities: a new autosomal recessive syndrome? Am J Med Genet 1994; 50: 224-7.

12.Pettit RE, Berdal KG. Chédiak-Higashi syndrome. Neurologic appearance. Arch Neurol 1984; 41: 1001-2.

13.Harfi HA, Malik SA. Chédialc-Higashi syndrome: clinical, hematological and immunological improvement after splenectomy. Ann Allergy 1992; 69: 147-50.

14.Fukai K, Ishii M, Kadoya A, Chanoki M, Hamada T. Chédiak-Higashi syndrome: report of a case and review of the literature. J Dermatol 1993; 20: 231­-7.

15.Ayuro C, Defain TMV, Tissera G, Osta V, Bedroznik L. Chédiak-Higashi syndrome: a laboratory finding. Sangre (Barc) 1998; 43: 426-9.

16.  Haddad E, Le Deist F, Blanche S, Benkerrou M, Rohrlich P, Vilmer E et al. Treatment of Chédiak Higashi syndrome by allogenic bone marrow transplantation: report of 10 cases and review of the literature. Blood 1995; 85: 3328-33.